すべての投稿
-
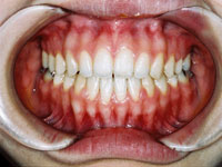
出っ歯になってしまう「上顎前突」でお悩みの方
続きを読む-

Before
-

After
症例情報
主訴 上顎前歯部の前突感 診断名あるいは主な症状 上顎前突 治療期間 2年 抜歯部位 小臼歯非抜歯 治療費概算 847,000円 リスク・副作用 装置が外れた後、保定装置を指示通り使用しないと後戻りが生じる可能性が高くなります。 治療内容 コンピュータアキシオグラフの下顎頭運動検査にて両側関節円板の前方転位を認めた為、咬合高径の挙上を行い下顎位の前方適応をさせた結果術後上気道の幅径拡大を認めた。 -
-
気になる「八重歯」を治すための症例紹介
続きを読む-

Before
-

After
症例情報
主訴 八重歯を治したい 診断名あるいは主な症状 叢生 治療期間 1年2か月 抜歯部位 小臼歯非抜歯 治療費概算 792,000円 リスク・副作用 歯の形を修正したり、咬み合わせの微調整を行ったりする可能性があります。 治療内容 上顎歯の遠心移動と下顎歯の遠心傾斜(整直)によって配列スペースを作り叢生を改善した。 -
-
しゃくれてしまう「下顎前突」の症状を矯正で改善
続きを読む-

Before
-

After
症例情報
主訴 受け口を治したい 診断名あるいは主な症状 下顎前突 治療期間 1年4か月 抜歯部位 小臼歯非抜歯 治療費概算 797,500円 リスク・副作用 ごくまれに歯を動かすことで歯の神経が障害を受けて壊死することがあります。 治療内容 上顎大臼歯部を沈み込ませる(圧下)ことで下顎位をコントロールさせた。 -
-
上下の前歯がくっつかない「開咬」でお悩みの方
続きを読む-

Before
-

After
症例情報
主訴 前歯で咬む事ができない 診断名あるいは主な症状 開咬 治療期間 1年3か月 抜歯部位 小臼歯非抜歯 治療費概算 797,500円 リスク・副作用 治療途中に金属等のアレルギー症状が出ることがあります。 治療内容 上下顎大臼歯部を沈み込ませ(圧下)咬み合わせをつくる。並行してリップトレーニング(口輪筋の強化)を行った。舌前突癖改善のためのタングクリブ付きリテイナーの装着。 -